Arthrose de la base du pouce (rhizarthrose)
Qu’est-ce que la rhizarthrose ?
La rhizarthrose est une pathologie articulaire fréquente. Elle correspond à l’arthrose de la base du pouce et plus précisément de l'articulation trapézo-métacarpienne. Cette pathologie dégénérative touche principalement les femmes de plus de 50 ans (prévalence est évaluée entre 8 à 25 %). Les hommes peuvent aussi être atteints, mais cela ne représenterait que 2 à 5 % des cas.
Le plus souvent, la rhizarthrose débute sur la main dominante, bien que les deux mains soient atteintes dans la plupart des cas.
De nombreux facteurs combinés ont été identifiés comme étant liés à la survenue de cette pathologie :
- l’âge,
- les facteurs hormonaux-post ménopause,
- les facteurs génétiques,
- le travail manuel,
- les facteurs post-traumatiques.
Quels sont les symptômes d'une rhizarthrose ?
La présentation clinique peut varier avec des formes parfois très bien tolérées malgré une déformation radiographique importante. Lorsqu’elle devient symptomatique, le principal symptôme est la douleur. Localisée à la base du pouce, cette douleur peut évoluer par poussées inflammatoires.
La gêne fonctionnelle peut être importante. Les patients sont notamment gênés lors des activités de la vie quotidienne nécessitant une pince pouce-index (par exemple : tourner une clé dans une serrure, utiliser un couteau, ouvrir un bocal) ou lors de la prise en force d’objets lourds. Des douleurs nocturnes peuvent être ressenties.
Dans les formes évoluées, une subluxation du premier métacarpien par rapport à l’os du trapèze et finalement une déformation progressive du pouce en « Z » peuvent apparaître, associées à une perte de force de la main.
Quels examens pratiquer ?
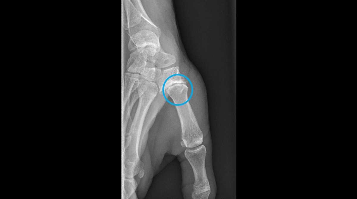
La radiographie standard est l’examen de choix pour établir le diagnostic, à la recherche de signes d’usure du cartilage de l’articulation trapézo-métacarpienne.

Quels sont les traitements ?
Le traitement initial se veut conservateur et doit être proposé en première intention.
En premier lieu, on prescrira des traitements antalgiques et ou anti-inflammatoires en cas de crises douloureuses.
La mise au repos de l’articulation de la base du pouce est un moyen simple et efficace de diminuer les douleurs. Les orthèses sont souvent efficaces, tant que la déformation n’est pas importante.
La kinésithérapie permet de renforcer musculairement et de maintenir la stabilité de l’articulation trapézo-métacarpienne.
Les infiltrations peuvent apporter un bénéfice sur les douleurs. Il existe deux catégories de produits injectés :
- Les produits anti-inflammatoires : ce sont souvent des corticoïdes. Ces produits ont pour effet d’atténuer localement l’inflammation articulaire. Le soulagement est progressif en quelques jours après l’infiltration. L’effet peut durer plusieurs semaines, voire plusieurs mois. Il n’est cependant pas recommandé de réaliser de multiples injections en cas d’épuisement de l’effet antalgique.
- Les chondro-substituts : ces produits contiennent des éléments composant le cartilage (acide hyaluronique, chondroïtine sulfate) dans des proportions variables.
En cas d’échec malgré un traitement médical bien mené, plusieurs techniques chirurgicales peuvent être proposées, l’objectif de chacune de ses interventions étant de supprimer le frottement douloureux au sein de l’articulation et donc la douleur.
Plusieurs types d’intervention pourront être proposées en fonction de la demande de chaque patient, les principales sont les suivantes.
-
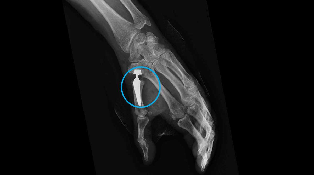
La prothèse trapézo-métacarpienne
Elle consiste à remplacer l’articulation usée par une prothèse, comme pour d’autres articulations (hanche, genou, épaule). La prothèse est constituée d’une tige implantée dans le 1er métacarpien, d’une cupule implantée dans le trapèze et d’une tête avec un col qui permet à l’implant de se mobiliser. Les développements techniques ont permis d’envisager une espérance de vie de ce type d'implant de l’ordre de 15 à 20 ans actuellement. Cette intervention n’est pas réalisable chez tous les patients selon la morphologie du trapèze et l’atteinte éventuelle de l’articulation sous-jacente.

- La trapézectomie
Cette intervention consiste à retirer complètement le trapèze afin de supprimer le conflit douloureux, l’espace créé est ensuite généralement comblé avec une greffe tendineuse. Il s’agit de la technique la plus ancienne et avec le plus de recul dans le traitement de la rhizarthrose.
-
L’arthrodèse trapézométacarpienne
Le but de cette intervention est de faire fusionner les 2 surfaces articulaires détériorées pour supprimer le conflit douloureux. L’avantage de cette technique est la stabilité du résultat dans le temps. Son principal inconvénient, la perte de mobilité de cette articulation.
Le choix de la technique sera discuté avec le patient en fonction de sa demande, de ses objectifs et de la faisabilité de l’intervention. L'objectif de la chirurgie est de proposer le meilleur compromis fonctionnel au patient, avec comme objectifs de réduire les douleurs et d’améliorer la force ainsi que la déformation du pouce lorsqu’elle est présente.
Comme toute chirurgie, des risques existent et doivent être connus du patient, qu’ils soient non spécifiques (infection, hématome…) ou spécifiques (luxation d’implant, descellement d’implant, faillite du matériel, neurapraxie nerveuse…).
Quels sont les résultats de l’intervention ?
Les résultats à long terme de ces techniques sont équivalents en terme de diminution de la douleur. Cependant, la vitesse de récupération varie d’une technique à l’autre.
En post opératoire immédiat, une attelle ou un gros pansement sera laissé en place pendant quelques semaines pour mettre l’articulation au repos.
Le reprise des activités du quotidien sera encouragée dès les premières semaines en évitant tout travail en force pendant 6 semaines.
La rééducation en kinésithérapie n’est pas toujours nécessaire selon la récupération observée chez le patient.
Les résultats définitifs de la chirurgie sont souvent observés aux alentours des 6 mois post opératoires.
Consulter aux HCL
- Service de chirurgie orthopédique du membre supérieur-sos mains (Hôpital Edouard Herriot)
- Consultation de chirurgie orthopédique de la main et du membre supérieur (Hôpital de la Croix-Rousse)
- Arthrose - Fiche santé
- Soins et spécialités - Rubrique